Cooper
A Brave Boy with a Long Road Ahead
SWEET HOME
1/17/20252 min read
Cooper has a long road to recovery—both physically and emotionally—but we’re here to help him every step of the way. He deserves to know what it feels like to be safe, loved, and cherished.


Good News!!Cooper, has found his forever home!!
Story coming soon!!


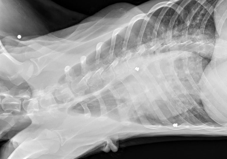
Cooper’s story is heartbreaking. He was found near the woods in Hilliard, painfully thin and carrying the scars of a cruel past. X-rays revealed he had been shot with BB guns, and four pellets are still lodged in his body.
Today, Cooper got a taste of love and kindness. He received a cozy bed to call his own and a toy that made his eyes light up with joy. Watching him wag his tail and play, even for a moment, was a reminder of the incredible resilience and gratitude animals can show when given a chance.


Follow along on Cooper’s journey on Facebook or Instagram, and if you’d like to contribute to his care, we would be grateful for your support. Together, we can show Cooper that the world isn’t all bad and that brighter days are ahead.
Despite everything, Cooper remains a gentle and loving soul.




Follow us on Facebook and Instagram
© 2024. All rights reserved.
Heroic Tails Sanctuary is a registered 501(c)(3) nonprofit organization dedicated to providing a safe haven for animals in need. By donating to our cause, you can make a significant impact on the lives of these animals while also benefiting from tax-deductible contributions. Our Employer Identification Number (EIN: 33-1815121) ensures that your gifts are recognized and can be deducted from your taxable income, making it easier for you to support our mission. Your generosity helps us provide essential care, shelter, and love for abandoned and abused pets, allowing them the chance to find their forever homes. Together, we can create a brighter future for these deserving animals while enjoying the rewards of giving back. Join us in our mission to make a difference!
